全国同城约资源匹配系统,一条龙200快餐,五一品茶茶馆儿,300上门4个小时打包

废水处理设备

30年总氮废水处理专家

微气泡曝气生物流化床反应器 SNAD过程脱氮性能研究

2018-12-21
来源:

微气泡曝气生物流化床反应器

SNAD过程脱氮性能研究

刘 平1,2 ,王晓1,2 ,刘春1

(1.河北科技大学环境科学与工程学院,河北省污染防治生物技术重点实验室;

2.河北科技大学图书馆:石家庄 河北 050018)

摘 要: 运行微气泡曝气生物流化床反应器(MAFBR),研究了不同运行策略下同步短程硝化 - 厌氧氨氧化 - 反硝化(SNAD)过程实现及生物脱氮性能。结果表明,MAFBR 反应器采用高碳氮比(C/N)启动并逐渐降低 C/N 的运行策略时,生物脱氮过程为同步硝化 - 反硝化,硝化过程效率较低且为生物脱氮的限制因素,生物脱氮性能不理想。MAFBR 反应器采用低 C/N 启动并控制适宜溶解氧(DO)浓度的运行策略时,生物脱氮过程由同步硝化 - 反硝化逐渐转变为 SNAD 过程,从而实现高效生物脱氮性能。MAFBR 反应器可在 C/N 为 1、DO 平均质量浓度为 1.29 mg/L条件下实现 SNAD 过程,其氨氮平均去除率和平均去除负荷可达到 69.87%和 0.31 kg/(m 3 ·d),总氮(TN)平均去除率和平均去除负荷可达到 63.93%和 0.29 kg/(m 3 ·d),厌氧氨氧化对 TN 去除的平均贡献率可达到 52.89%以上。

关键词: 微气泡曝气;生物流化床;SNAD 过程;生物脱氮

生物流化床是一种高效废水生物处理技术。好氧生物流化床兼具活性污泥法与生物膜法的优点,具有床层生物量大、生物膜活性高、传质条件优越、

处理效率高等特点  ,主要用于去除中、低浓度的有机污染物以及生物脱氮。在废水生物处理中,生物脱氮的基本过程包括:1)氨氧化过程(即亚硝化过程);2)亚硝酸盐氧化过程(即硝化过程);3)反硝化过程;4)厌氧氨氧化过程。溶解氧(DO)和碳氮比(C/N)是生物脱氮过程中的重要影响因素 。近年来,同步短程硝化 -厌氧氨氧化 - 反硝化(SNAD)生物脱氮过程因其具有高效率、低成本的生物脱氮性能,逐渐受到关注。SNAD 过程对低 C/N 废水处理尤为适宜,可实现碳氮同步高效去除,但 SNAD 过程实现仍存在一定的困难,是目前生物脱氮研究的热点。

微气泡曝气技术是一种新型的曝气方式。已有研究将微气泡曝气成功应用于生物膜反应器,并获得高效污染物去除效果和接近 100%的氧利用率。同时,微气泡曝气生物膜反应器亦可以实现同步硝化 - 反硝化生物脱氮,且氧利用率可达到 91.8%。因而将微气泡曝气与生物流化床反应器相结合并实现 SNAD 过程,可为废水高效生物脱氮提供新的解决途径,但目前未见相关研究报道。

本研究采用 2 种策略运行微气泡曝气生物流化床反应器(MAFBR)处理模拟生活废水,比较了不同运行策略下生物脱氮性能变化,分析了生物脱氮

过程、特别是 SNAD 过程及其效率,以期为 MAFBR反应器应用于废水生物脱氮提供参考。

1 材料和方法

1.1 实验装置

MAFBR 反应器实验装置图如图 1 所示。采用SPG膜进行微气泡曝气,SPG 膜为管式疏水膜,膜孔径为 0.8 μm,膜面积为 1.57×10 -3 m 2 。采用循环泵使得反应器内混合液在 SPG 膜管内循环流动,利用空气压缩机在 SPG 膜管外提供压缩空气 (0.6~0.8MPa),空气通过膜孔进入管内,在循环液体水力剪切作用下形成微气泡。通过调节跨膜压差控制空气通量及溶解氧(DO)浓度。实验条件下所产生的微气泡的平均直径范围为 30~40 μm。


反应器为有机玻璃柱形容器,高和直径分别为600、250 mm,有效容积为 15 L。反应器内填充环状碳纤维填料,填料高和直径分别为 10、8 mm,有效比表面积为 9 000 m 2 /m 3 ,填充率为 36%。填料在反应器内处于流化状态。

1.2 实验过程

MAFBR 反应器采用 2 种运行策略。运行策略 1为高 C/N 比启动,在稳定运行过程中逐渐提高进水氨氮浓度,降低 C/N 比,共分为 3 个运行阶段,运行条件如表 1 所示;运行策略 2 为低 C/N 比启动,在稳定运行中控制 DO 质量浓度,共分为 3 个运行阶段,运行条件如表 2 所示。反应器启动及稳定运行过程中均采用 SPG 膜进行微气泡曝气,实验用水成分均参考模拟生活废水 [14] ,并根据所需 C/N 比调整碳源和氮源比例。反应器运行温度为室温。反应器长期运行过程中,每 2 d 对 SPG 膜进行在线清洗,以控制 SPG 膜污染 [15] 。

湛清

MAFBR 反应器运行过程中,检测进出水 COD、氨氮质量浓度、TN 质量浓度、亚硝酸盐氮浓度、硝酸盐氮浓度以及 DO 浓度随时间变化,以评价和分析反应器脱氮性能和脱氮过程。

1.3 功能菌群检测

采用荧光原位杂交(FISH)技术检测反应器生物膜内亚硝化菌群和厌氧氨氧化菌群,其中亚硝化菌 群 的 特 异 性 探 针 基 因 序 列 为 :CGATCCCCTGCTTTTCTCC[10] ,标记;厌氧氨氧化菌 群 特 异 性 探 针 碱 基 序 列 为 :CCTTTCGGGCATTGCGAA [10] 。上述探针标记荧光染料 FITC 或 Cy5,与生物膜样品进行杂交,并观察杂交图像 [13] 。

1.4 水质分析方法

COD、氨氮、硝酸盐氮、亚硝酸盐氮质量浓度均采用国标方法测定;DO 质量浓度通过溶解氧测定仪测定;TN 质量浓度采用 TOC 分析仪测定。

2 结果与讨论

2.1 运行策略 1 时 MAFBR 运行性能

2.1.1 DO 变化

运行策略 1 时,MAFBR 反应器内 DO 质量浓度变化如图 2 所示??梢钥闯?,启动、阶段 1 和阶段2COD 进水负荷略有增加,氨氮进水负荷明显提高,因此 3 个阶段反应器内 DO 质量浓度逐渐下降,DO平均质量浓度分别为 1.65、1.43、0.88 mg/L。

昆山鑫美源环??萍加邢薰? width=

2.2.2 COD 去除性能

运行策略 2 时,MAFBR 反应器进出水 COD 变化如图 7 所示??梢钥闯?,启动运行 15 d 后,出水COD 降至较低水平并趋于稳定,但随后运行过程中,出水 COD 波动较大。启动、阶段 1 和阶段 2 出水 COD 平均分别为 15.15、34.13、20.73 mg/L;COD去除率分别为 85.24%、72.06%、82.20%;COD 去除负荷分别为 0.36、0.36、0.38 kg/(m 3 ·d)。尽管启动、阶段 1 和阶段 2 的 DO 质量浓度差异较大,但 COD 去除性能基本相当??杉珼O 质量浓度不是 COD 去除性能的主要影响因素。

湛清环保

以上运行结果表明,DO 对硝化过程的影响是氨氮去除的重要因素,因而启动阶段氨氮去除较好,阶段 1 由于 DO 质量浓度极低使得氨氮去除受到严重抑制。而阶段 2 的 DO 质量浓度显著提高,尽管仍低于启动阶段,但运行后期氨氮去除性能显著优于启动阶段,氨氮去除负荷为启动阶段的 2 倍,此时厌氧氨氧化过程可能是改善氨氮去除的主要原因。

2.2.4 TN 去除性能

运行策略 2 时,MAFBR 反应器进出水 TN 质量浓度变化如图 9 所示,其中阶段 1 和阶段 2 进水TN 质量浓度同样比启动阶段提高约 1 倍,降低 C/N比为 1.0??梢钥吹?,启动运行 15 d 后,启动、阶段 1和阶段 2 出水 TN 质量浓度分别为 50.70、113.46、74.47 mg/L;去除率分别为 22.63%、6.97%、34.64%;去除负荷分别为 0.06、0.03、0.16 kg/(m 3 ·d)。同样值得注意的是,阶段 2 运行至 98 d 后,TN 去除性能明显改善,出水 TN 平均质量浓度、去除率和去除负荷分别为 40.43 mg/L、63.93%和 0.29 kg/(m 3 ·d)。

可见,启动阶段尽管氨氮去除较好,但由于低C/N 比和高 DO 浓度不利于反硝化过程,因此 TN去除性能较差。阶段 1 硝化过程受到严重抑制,使得后续 TN 去除性能明显下降。而阶段 2 运行后期 TN去除性能显著提高,而低 C/N 比对反硝化过程存在抑制,因此厌氧氨氧化过程可能是改善 TN 去除的主要原因,同时在此过程中也促进氨氮去除。

2.2.5 厌氧氨氧化对 TN 去除贡献率

根据 SNAD 过程化学计量关系 [16] ,估算厌氧氨氧化及反硝化过程在 TN 去除中的贡献率,结果如图 10 所示??梢钥闯?,启动和阶段 1,反硝化过程在TN去除中的贡献率均为 100%,无厌氧氨氧化过程。阶段 2 初期,TN 去除仍为反硝化过程,后期厌氧氨氧化过程对 TN 去除效应逐渐显现,TN 去除贡献率逐渐升高,稳定平均 TN 去除贡献率达到 52.89%。以上估算认为全部 COD 均通过反硝化过程去除,事实上,应为部分 COD 通过反硝化过程去除,因此实际厌氧氨氧化对 TN 去除贡献率应高于估算值。可见,阶段 2 后期 TN 的有效去除主要是由于厌氧氨氧化作用。

2.3 不同运行策略时生物脱氮过程分析

2.3.1 运行策略 1 生物脱氮过程

运行策略 1 时,MAFBR 反应器运行 3 个阶段的 TN 去除性能与氨氮去除性能基本一致,表明生物脱氮过程主要为同步硝化反硝化过程。由此估算启动、阶段 1 和阶段 2 反硝化过程消耗的 COD 分别为 23.82、46.76、63.62 mg/L,占 COD 去除量的11.95%、22.09%和 28.92%??杉词乖诮锥?2C/N比仅为 2.7 时,碳源仍然不是反硝化过程的限制因素。同时,出水中几乎不存在亚硝酸盐和和硝酸盐积累,也证实硝化过程产生的亚硝酸盐和和硝酸盐可完全通过反硝化过程去除。由以上分析可见,硝化过程效率偏低是同步硝化反硝化过程效率不佳的主要因素。其原因可能是高 C/N 比启动运行时,有利于异养菌增殖,而限制了自养硝化菌群和厌氧氨氧化菌群的增殖,导致了后续运行中硝化过程受到抑制,亦无法实现厌氧氨氧化过程,因而整体生物脱氮性能不理想。

2.3.2 运行策略 2 生物脱氮过程

运行策略 2 时,MAFBR 反应器运行启动阶段氨氮去除性能明显优于 TN 去除性能,且出水中硝酸盐氮和亚硝酸盐氮累积明显,平均出水质量浓度分别达到 4.27、6.19 mg/L??杉?,此阶段由于进水C/N 比较低且 DO 质量浓度高,有利于硝化过程但抑制反硝化过程,且无法形成厌氧氨氧化过程,因此生物脱氮仍以同步硝化反硝化过程为主,反硝化过程为限制步骤。

为促进厌氧氨氧化过程,阶段 1 进一步降低C/N 比和 DO 质量浓度,但此阶段 DO 质量浓度控制过低,平均 DO 质量浓度仅为 0.3 mg/L,对硝化过程形成明显抑制。出水中平均硝酸盐氮和亚硝酸盐氮浓度极低,分别为 0.69、0.84 mg/L,可见硝化作用仍为硝化 - 反硝化过程的限制因素,也无法形成厌氧氨氧化过程,因此氨氮和 TN 去除性能显著下降。

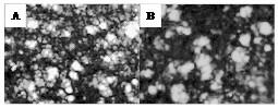
阶段 2 保持低 C/N 比并提高 DO 质量浓度,运行过程中,随着短程硝化作用逐渐改善,出水中亚硝酸盐氮累积明显,平均质量浓度达到 6.48 mg/L,而硝酸盐氮平均质量浓度仅为 0.39 mg/L。SNAD 过程亦逐渐实现,运行后期氨氮和 TN 去除性能均大幅提高,厌氧氨氧化成为 TN 去除的主要作用。对阶段2 运行末期生物膜样品中的亚硝化菌群和厌氧氨氧化菌群进行 FISH 检测,结果如图 11 所示,亦证实亚硝化菌群和厌氧氨氧化菌群在此阶段生物膜中大量分布,使得 SNAD 过程得以实现。

湛清

图 11 生物膜中亚硝化菌群和厌氧氨氧化菌群 FISH 检测

Fig.11 FISH detection of nitrosate bacteria and anammox bacteria

in the biofilm sample

3 结 论

1)MAFBR 反应器采用高 C/N 比启动并逐渐降低 C/N 比的运行策略时,生物脱氮过程为同步硝化 - 反硝化,硝化过程效率较低且为生物脱氮的限制因素,生物脱氮性能不理想。

2)MAFBR 反应器采用低 C/N 比启动并逐渐提高 DO 浓度的运行策略时,生物脱氮过程由同步硝化 - 反硝化逐渐转变为同步短程硝化 - 厌氧氨氧化 - 反硝化(SNAD),从而实现高效生物脱氮性能。

3)MAFBR 反应器中 SNAD 过程中,氨氮平均去除率和去除负荷可达到 69.87%和 0.31 kg/(m 3 ·d),TN 平均去除率和平均去除负荷可达到 63.93%和0.29 kg/(m 3 ·d),厌氧氨氧化对 TN 去除的平均贡献率可达到 52.89%以上。


最近浏览:

总氮问答

国际交流

政策规范

联系我们

苏州湛清环??萍加邢薰?/p>


热线:400-110-8500

传真:0512-50310052

邮箱:sales@drtsing.com

地址:江苏省苏州市昆山市玉山镇台虹路19号